Bobby S. Lee, DDS, FICOI
170 Changebridge Road, Suite C-1
Montville, NJ 07045
(973) 227-7110
Whitening and Zoom! Whitening

Over time our teeth tend to become discolored or stained. Whether this is from smoking, coffee, or any other foods, a beautiful smile could be closer than you think. We offer a safe, inexpensive solution to an unsightly smile. Whitening your teeth is a very simple procedure that can be completed in relatively short period of time.

 

Procedure

The first step in the whitening process is impressions. We will take full impressions of your upper and lower teeth. These impressions will be made into custom bleaching trays. The trays will fit onto your teeth perfectly so there is a minimal possibility of gum damage from the bleaching solution.
The whitening gel is placed in the trays and you wear them for anywhere from an hour a day to overnight, depending on your preference.  Within 7-14 days, you will see a significant improvement in the color of your teeth.  Your smile will look brighter and younger.

 

Zoom! Whitening


The in-office whitening system is a revolutionary tooth whitening dentistry procedure.  It is safe, effective and fast; very fast. In just over an hour, your teeth will be dramatically whiter. The convenience of our treatment in comparison to days of wearing trays and gradual whitening makes it the perfect choice for the busy individual. Zoom!™ Whitening is ideal for anyone looking for immediate results.

 

How Zoom!™ Works!

The Zoom!™ light-activated gel was developed after years of research by Discus Dental, the leaders in professional take-home tooth whitening dentistry. The gel is a scientifically formulated, pH balanced Hydrogen Peroxide that, when activated by the laser light, gently penetrates the teeth to remove deep stains and discoloration. With proper care and an occasional touch-up at home, your whiter smile will sparkle for years.

The whitening procedure is simple and painless. It begins with a short preparation to isolate your lips and gums. We then apply the proprietary whitening gel, which is activated by a specially designed light.

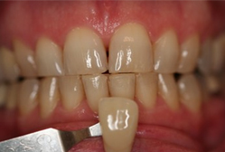
Teeth typically become at least six to ten shades whiter, sometimes more. A five minute fluoride treatment completes the procedure.

You'll be amazed with the results. In most cases, teeth get even whiter the first few days after the procedure.

Bobby S. Lee, DDS - Implant, Cosmetic, and Family Dentistry - Montville, NJ
Call us today for an appointment (973) 227-7110.
 
Implant, Family, Cosmetic Dentistry, Dentist Montville, New Jersey
170 Changebridge Rd. Suite C-1 Montville NJ 07045 USA
Facebook | Google+